首页
关于我们
公司介绍
荣誉资质
关于团队
技术服务
组织病理
案例展示
分子病理
数字病理
早期非GLP毒理/TK
检测试剂盒
学术分享
组织病理
药效模型
毒性病理
公司新闻
加入我们
Head of Pharmacology
联系我们
English
test
TECHNICAL SERVICE
技术服务
技术服务
组织病理
组织病理技术
案例展示
皮肤烧烫伤模型
佐剂诱导的类风湿关节炎模型
炎性肠病IBD模型
大鼠糖尿病视网膜病变模型
特应性皮炎
IMQ诱导的银屑病模型
分子病理
服务总括
免疫组织化学染色
分子实验
数字病理
数字病理
早期非GLP毒理/TK
临床病理检测
服务总括
检测试剂盒
检测试剂盒
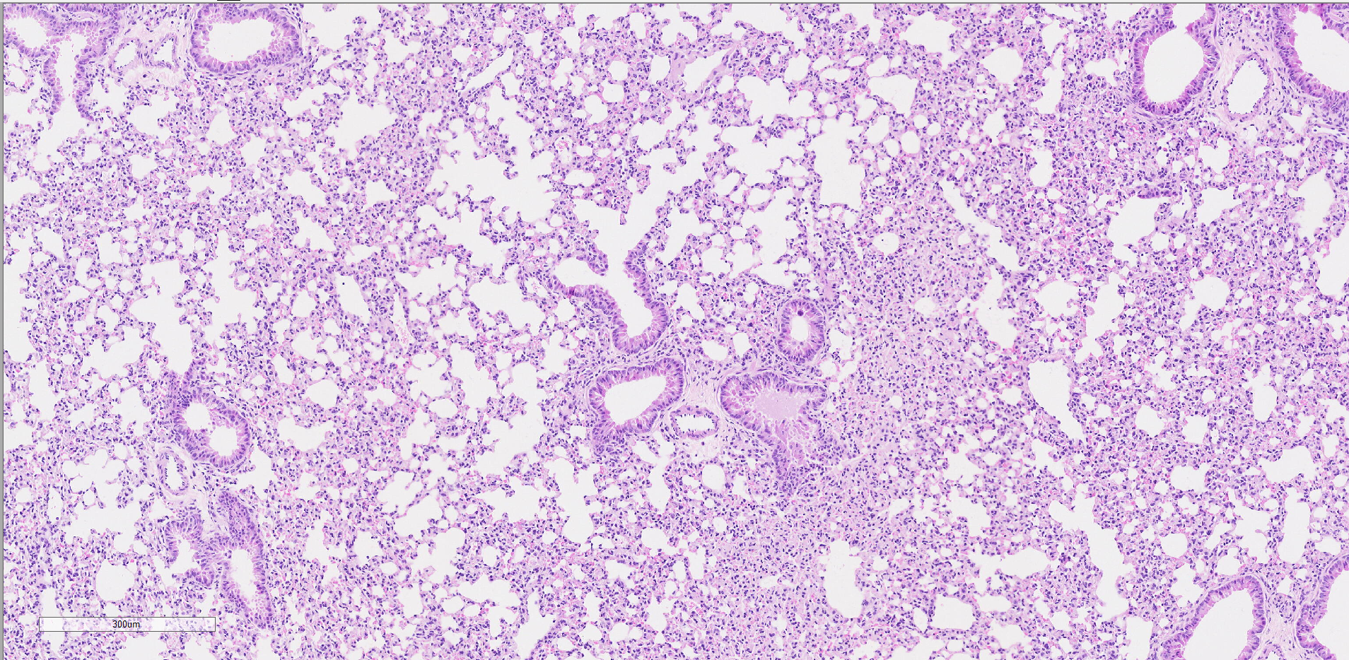
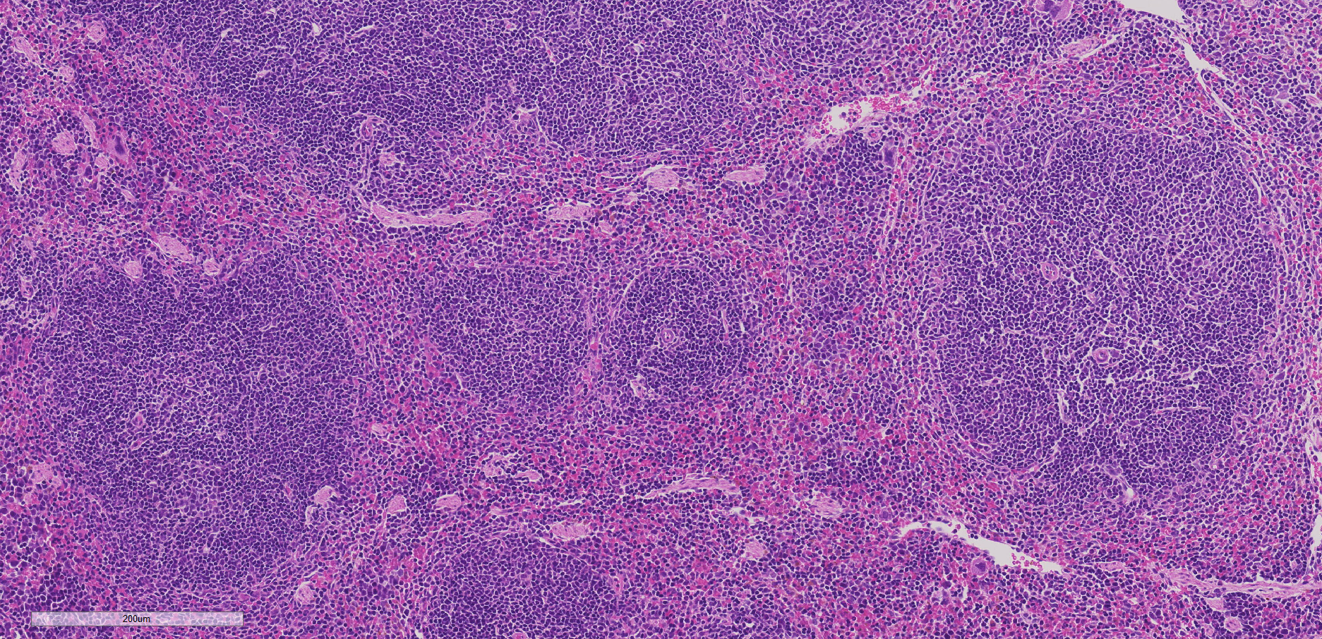
H&E染色
苏木精和伊红染色(Hematoxylin and eosin stains, H&E stains)是组织病理学中应用广泛的染色技术。这种染色剂多年来一直没有变化,因为它能很好地与各种固定剂配合使用,并显示出广泛的细胞质、细胞核和细胞外基质特征。对于常规诊断,使用苏木精和伊红(H&E)是病理学家观察细胞和组织结构细节的常用方法。
肺 HE染色
脾 HE染色
上一篇:
瑞氏姬姆萨染色
下一篇:
阿利新蓝染色