TECHNICAL SERVICE

技术服务

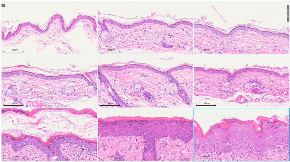
特应性皮炎

特应性皮炎是具有遗传倾向的一种过敏反应性皮肤病,尚未明确发病机制,但与遗传因素、过敏都有着密切的关系。

造模方式:噁唑酮(OXA)涂抹皮肤表面,OXA属于半抗原,能与皮肤组织蛋白结合成为完全抗原,

                进而激活T淋巴细胞实质成为致敏细胞。

病理表现:经过OXA诱导后,可明显观察到的小鼠背部皮肤和右耳变厚,结痂。

                通过测量数据分析,模型组背部皮肤的厚度在对照组的3倍左右,右耳皮肤最厚处是对照组的5倍左右。

                                                                背部皮肤和右耳厚度

                                                                 组织病理学