TECHNICAL SERVICE

技术服务

皮肤烧烫伤模型

烧伤分为Ⅰ度、Ⅱ度和Ⅲ度。严重的烧伤会导致皮肤功能的丧失,进而引起人体发生一系列的代谢紊乱和炎症损伤,甚至会引发全身炎症反应综合症。

造模方式:小鼠麻醉后,使用热烫伤仪器,对应烧伤的温度 压力和时间,即可模拟不同程度的烧伤。

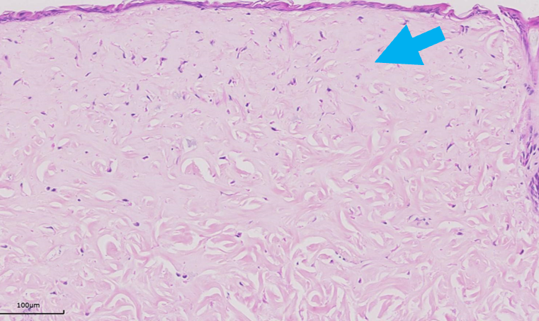
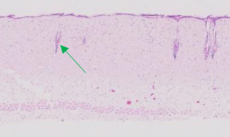
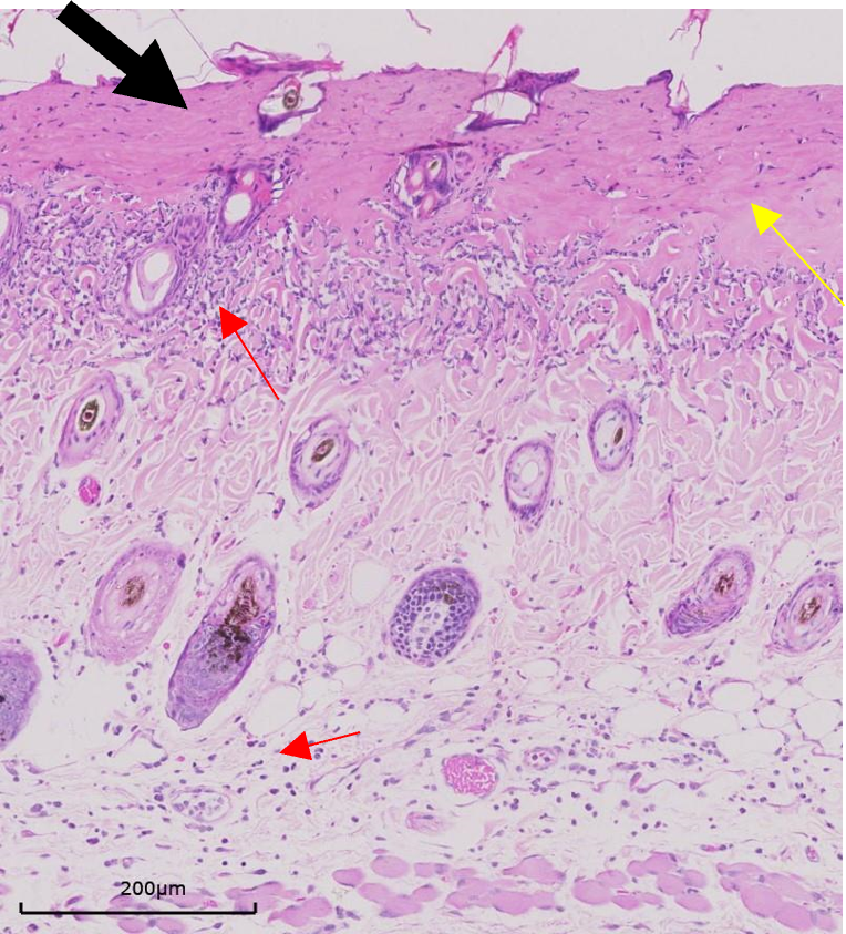
病理表现:可见背部皮肤发白,水肿,表皮坏死脱落等,病理切片可见坏死充血,炎性细胞浸润等。


              皮肤烧烫伤                                  皮肤愈合

   


            实验数据展示

  

                                              

          

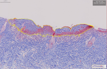
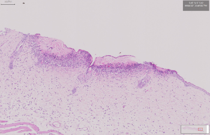
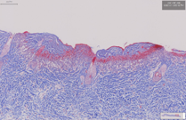
     溃疡:黑色→     炎症浸润:红色    毛囊缺失:绿色     真皮层组织坏死:蓝色箭头


  

           Masson染色:明显破溃                Masson染色:破溃皮肤的数字标记(黄色部分)         HE染色确认皮肤组织学:烫伤溃疡部位

                                                                        坏死/溃疡创伤面积 μm2