TECHNICAL SERVICE

技术服务

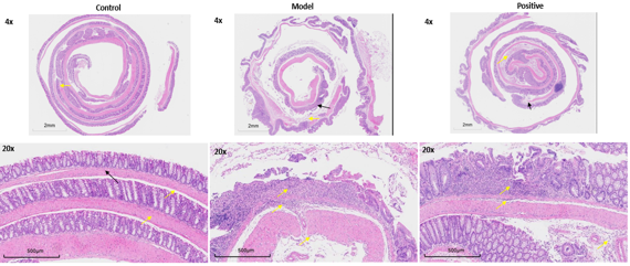
炎性肠病IBD模型

溃疡性结肠炎是一种炎症性结肠疾病,主要表现为结肠黏膜长期或反复发生溃疡性损害。

造模方式:DSS饮水诱导,DSS可破坏肠上皮细胞,导致肠黏膜屏障的完整性受损,激活免疫系统,释放炎症性细胞因子、导致炎症和组织损伤。

试验数据小鼠饮用DSS后,与正常饮水相比,出现体重显著下降,便血等症状,病理评分也会显著升高,解剖后结肠的长度和重量长度比,也有显著变化。


        造模方法与结肠长度重量                                            体重与DAI评分                               组织病理

                        化学诱导的IBD模型小鼠结肠HE染色  。


模型组:结肠黏膜局灶溃疡脱落(黑色→),黏膜、黏膜下层至浆膜层炎细胞浸润(黄色→

 

  

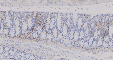
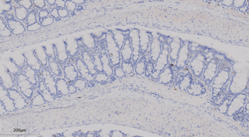
 CD3 免疫组化     对照组                            模型组                                                     给药组