TECHNICAL SERVICE

技术服务

IMQ诱导的银屑病模型

银屑病是一种常见的慢性复发性炎症性皮肤病,以表皮角质形成细胞过度增生伴角化不全,真皮微血管迂曲扩张及炎症细胞浸润为主要病理生理学特征。

造模方式:咪喹莫特(IMQ)局部涂抹,IMQ是一种免疫调节剂,可通过刺激细胞免疫系统,激发相关免疫应答,引起皮肤炎症。

试验数据:经IMQ诱导后,皮肤显著出现损伤,皮疹和脱屑等症状,临床评分也显著提高。并且出现脾脏肿大,血液中白细胞含量显著升高。


                皮肤外观与评分                                                                           脾脏与白细胞改变

  

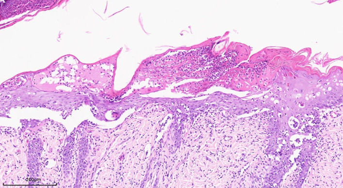
皮肤角质层角化(蓝色→);表皮棘层增厚(绿色→),表皮小脓肿(黑色→);真皮层炎细胞浸润(红色→

毛细血管增生(黄色→

   银屑病病理评分标准(表皮增生,角化过度,Munro微脓肿,炎症浸润,真皮乳头水肿,血管增生/扩张)            

    模型组-200x  真皮乳头水肿(黑色→),血管增生(蓝色→),炎症聚集(黄色→


 

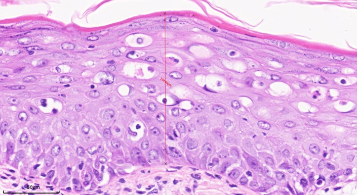
      对照组-800x  表皮厚度(32.2μM)                                   模型组-800x 表皮厚度增厚(134.9μM)


 

    模型组-200x:表皮Munro微脓肿                                       模型组-200x:表皮层角质增厚

    中性粒细胞聚集层,伴有坏死和细胞碎片                            角化不全,角质层增厚


上一篇:没有数据了