首页
关于我们
公司介绍
荣誉资质
关于团队
技术服务
组织病理
案例展示
分子病理
数字病理
早期非GLP毒理/TK
检测试剂盒
学术分享
组织病理
药效模型
毒性病理
公司新闻
加入我们
Head of Pharmacology
联系我们
English
test
TECHNICAL SERVICE
技术服务
技术服务
组织病理
组织病理技术
案例展示
皮肤烧烫伤模型
佐剂诱导的类风湿关节炎模型
炎性肠病IBD模型
大鼠糖尿病视网膜病变模型
特应性皮炎
IMQ诱导的银屑病模型
分子病理
服务总括
免疫组织化学染色
分子实验
数字病理
数字病理
早期非GLP毒理/TK
临床病理检测
服务总括
检测试剂盒
检测试剂盒
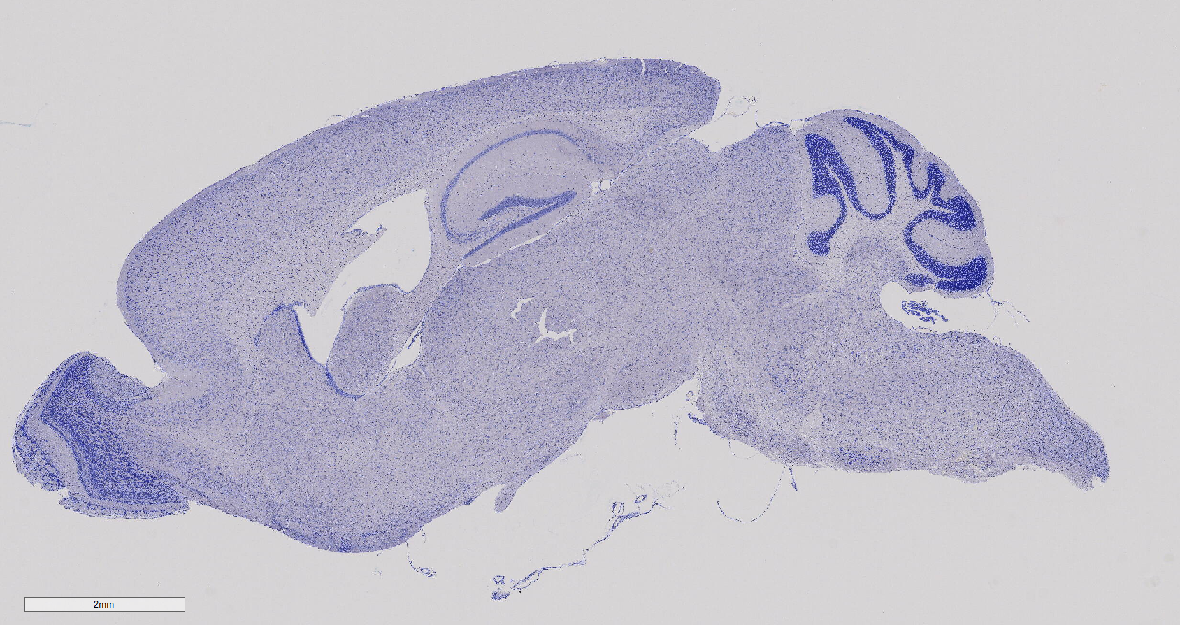
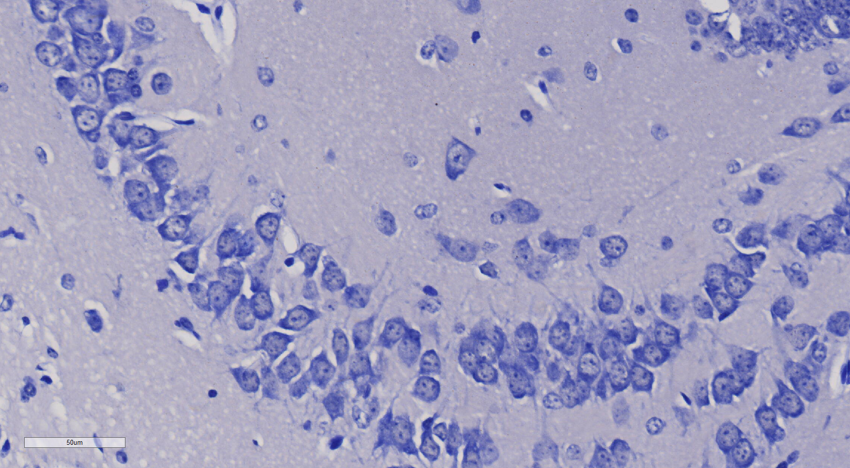
尼氏染色
尼氏染色法利用碱性染料对神经组织进行染色,以强调细胞质中的尼氏体。尼氏体是一种嗜碱性物质,分布广泛于各类神经元中,其形状、大小和数量在不同神经元中呈现差异。通过运用尼氏染色法,能够有效染显尼氏体,从而观察神经元内的细胞结构,并通过对尼氏体的观察来评估神经元是否受损。焦油紫、亚甲蓝、甲苯胺蓝和硫堇等是常用的碱性染料。这一技术为深入研究神经组织提供了强大的工具,使科学家得以更全面地了解神经元的结构和状态。
小鼠脑部整体尼氏染色 海马结构 尼氏小体
上一篇:
镀银染色
下一篇: