1小核酸药物简介:
短干扰RNA(siRNA)和反义寡核苷酸(ASO)是临床上先进治疗方法的基于寡核苷酸的平台。一些N-乙酰半乳糖胺(GalNAc)偶联的siRNA(GalNAc-siRNA),也称为RNA干扰(RNAi)疗法目前正处于不同的开发阶段。除了赋予靶RNA特异性的序列差异外,GalNAc siRNA在化学上基本一致,含有有限数量的硫代磷酸键和2'-O-甲基和2'-脱氧-2'-氟核糖修饰。GalNAc siRNA的大鼠和猴子重复给药毒理学研究结果,这些分子具有相似的安全信号,包括药效器官(肝脏)、排泄器官(肾脏)和网状内皮系统(淋巴结)。这些变化中的大多数是无危害的、部分可逆到完全可逆的,与药代动力学参数和组织分布密切相关,通常反映药物积累。此外,GalNAc siRNA在遗传毒性和安全药理学研究中一般均为阴性。
2 常见病理改变
一般般病理特征:细胞内沉积:嗜碱性颗粒,常见于肝细胞,肾小管上皮细胞,巨噬细胞等,重复给药蓄积的程度和病变与剂量有关。病理改变与溶酶体损伤或肝脏枯否细胞激活引起细胞因子释放有关
主要病理变化(非杂交相关毒性):肝细胞变性和单个细胞坏死(蓄积相关);肾小管坏死(蓄积相关);人肾小球系膜基质和细胞增多(免疫反应);血小板减少(序列相关) ;神经系统空泡化。
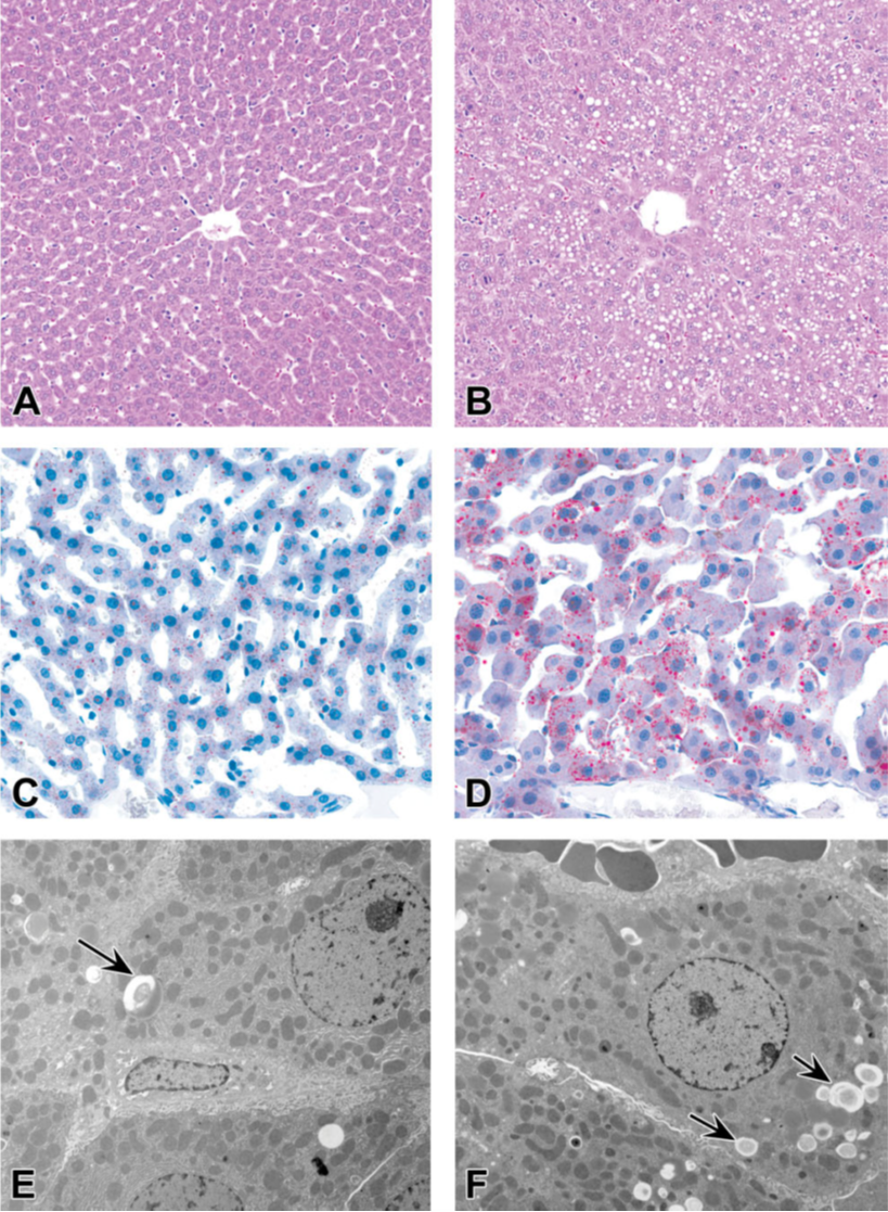
在为期3周的重复给药毒性研究中,每周给药一次300mg/kg剂量GalNAc-siRNA的大鼠肝细胞空泡化。
(A,B)0.9%氯化钠处理的对照组大鼠(A)和GalNAc-siRNA处理的大鼠(B)。(C,D)肝脏油红O染色显示对照组大鼠(C), 在GalNAc-siRNA处理的大鼠(D)中的中性脂质和增加的量。
(E,F)对照组大鼠(E)和GalNAc siRNA处理的大鼠(F)肝脏的透射电镜照片。
300mg/kg GalNAc-siRNA的大鼠肝细胞单细胞坏死(A图箭头)和有丝分裂增加(B图箭头)
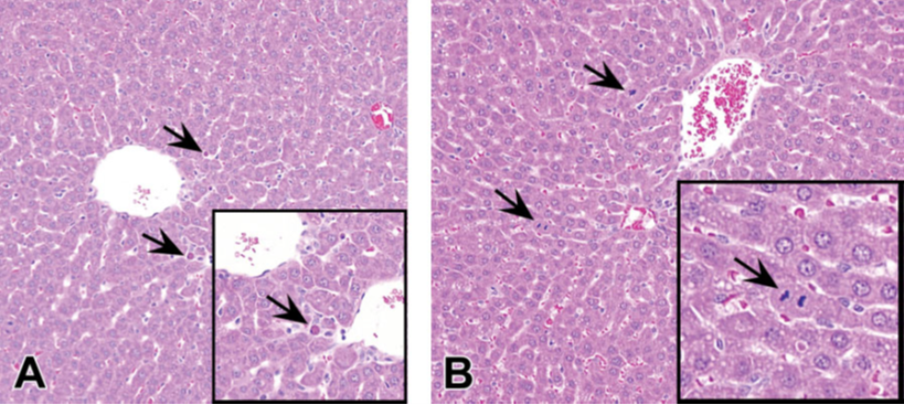
(A,B)给予300mg/kg GalNAc-siRNA的大鼠近端肾小管细胞。H&E染色(A)显示细胞质嗜碱性粒细胞和IHC(B)识别含2'F寡核苷酸的抗体证实这些颗粒是GalNAc siRNA药物。
(C、D)皮下注射大鼠给予GalNAc-siRNA的部位。H&E染色(C)显示真皮浅层有空泡化单核细胞(箭头),IHC(D)证实了GalNAc-siRNA药物在这些细胞中的存在。
5周的重复给药毒性研究中,每周一次给药GalNAc siRNA的猴子体内药物积聚,剂量高达300mg/kg。
(A,B)给药GalNAc-siRNA的猴子的肝枯否细胞。H&E染色(A)显示嗜碱性颗粒(箭头),IHC(B)使用识别含2'F寡核苷酸的抗体证实这些颗粒是GalNAc siRNA药物(箭头)。阳性IHC标记在肝细胞的细胞质中也可观察到。
(C,D)猴子全身淋巴结髓质中的巨噬细胞。H&E染色(C)显示淋巴结髓质中有空泡巨噬细胞,IHC(D)证实GalNAc siRNA的存在。肠系膜淋巴结通常含有较突出的颗粒。
艾联生物已完成多个小核酸药物的早期临床前开发阶段的药理药效和毒性病理评价,积累了大量的病理研究CRO服务经验