大鼠肾脏。肾小管上皮内嗜碱性颗粒呈深灰色。Toxicologic Pathology, XX: 1-12, 2014
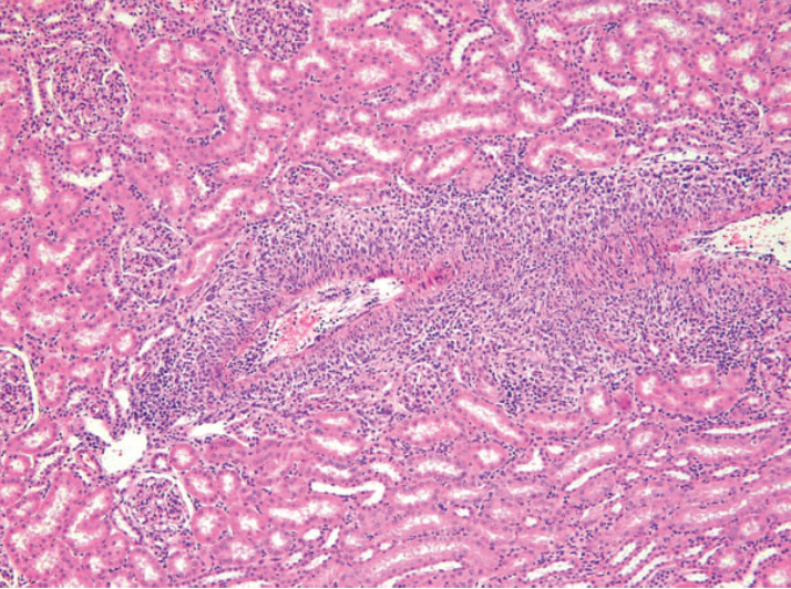
给予反义寡核苷酸治疗9个月(30mg/kg/周SC)猴肾脏的药物性血管损伤。
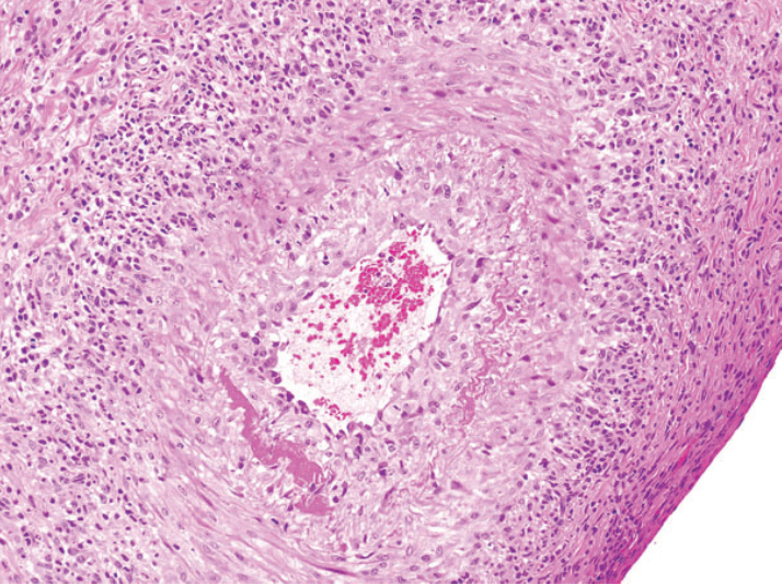
猴子药物性血管损伤
给予反义寡核苷酸治疗(30mg/kg/W SC)9个月。注:内膜和中层变化,包括中层纤维蛋白样坏死,以及壁和外膜混合炎症。
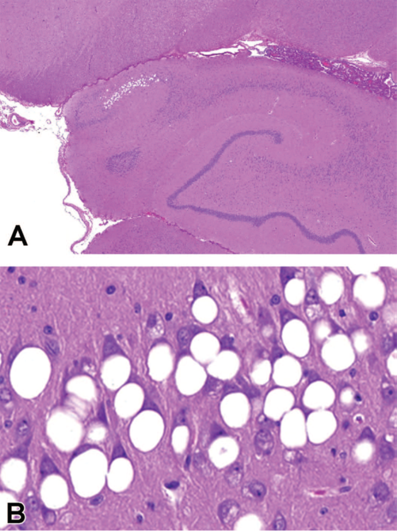
非人类灵长类动物(NHP)的海马区HE切片。通过5次35mg反义寡核苷酸(ASO)
毒性研究中腰椎穿刺超过13周。大液泡在鞍角1区(CA1)的锥体神经元中观察
(A)高倍镜下,单个、大、清晰的“大泡”
(B)神经元中的液泡经常将细胞核挤压移位到细胞外围。

非人类灵长类动物(NHP)一项毒性研究海马CA1区空泡化细胞的免疫组织化学特征证实了它们是神经元。
(A) 神经元核蛋白(NeuN)显示神经元细胞核的阳性染色。
(B)髓鞘碱性蛋白(MBP)为阴性,表明空泡化细胞不是少突胶质细胞。(C) 胶质纤维酸性蛋白(GFAP)是阴性表明空泡化细胞不是星形胶质细胞。
GFAP和(D)电离钙结合衔接分子1(Iba-1)显示空泡化神经元周围没有增加的染色,分别表明星形胶质细胞或小胶质细胞没有细胞反应。
NHP中的一项毒性研究中的表明,神经元空泡的免疫组织化学染色证明,空泡起源于溶酶体包含ASO
(A) 抗ASO抗体阳性染色显示:ASO的存在与液泡莫限制密切相关,未受影响的神经元中的精细斑点染色表明其中存在ASO。
(B) 溶酶体相关阳性染色液泡轮廓的膜蛋白2(LAMP2)显示,它们是扩张的溶酶体。未受影响神经元的细胞质染色,细微斑点的存在表明正常溶酶体的存在。
Toxicologic Pathology 2022, Vol. 50(2) 197–210
艾联生物已完成多个小核酸药物的早期临床前开发阶段的药理药效和毒性病理评价,积累了大量的病理研究CRO服务经验