方案1:化学诱导的结肠炎症
所有化学诱导的结肠炎症模型都是从破坏上皮屏障开始,使免疫抗原能够与固有层内的免疫细胞相互作用。分别用TNBS或恶唑酮对致敏小鼠直肠给药和口服DSS诱导急性结肠炎。低剂量DSS的重复周期引起慢性肠道炎症。在所有模型中主要发现的是粘膜变化的不连续性,因为广泛的浸润,观察到没有上皮缺陷,反之亦然,这反映在分别评估炎症细胞浸润物和肠道结构的加性评分中,评分值均为3。严重的结肠炎表现为几乎没有保留的粘膜结构,表现为扩大的明显溃疡,通常是透壁性炎症细胞浸润和破坏的隐窝。DSS诱导的结肠炎的结肠切片后文说明。
方案2:结肠炎症介导管腔抗原
肠腔抗原包括来自食物成分或肠道微生物群的抗原。抗原特异性模型的方案评分,衡量肠道炎症的严重程度。而早期主要表现为炎症细胞浸润逐渐增加,晚期则表现为典型的溃疡。这一组在该模型中,在完全免疫能力的野生型小鼠中直肠应用OVA诱导的结肠炎,同时接受OVA特异性CD8+T细胞。
方案3:结肠炎症介导紊乱的免疫细胞稳态
将 naïve CD4+T细胞移植到同基因免疫缺陷受体中会导致结肠和小肠的持续炎症。无论转移的T细胞群是否被定义为CD4+CD45RBHI、CD4+CD62L+或CD4+CD25-T细胞,随着炎症细胞浸润和上皮改变的同时增加,结肠炎症的严重程度显著增加,在晚期有溃疡。不像上述抗原介导的结肠炎模型那样严重,也不像隐窝改变或丢失那样严重。评分值为5的非加性评分系统可重复地反映了转移性结肠炎的所有模型,并以CD4+CD45RBHI T细胞转移到RAG1-KO小鼠为例。
方案4:细胞因子缺陷的基因修饰小鼠的结肠炎症
具有重组转基因表达或产生特定细胞因子缺陷的模型通常被称为遗传IBD模型.由于全身性原因,肠道炎症通常影响结肠和小肠。本模型结肠炎症与转移性结肠炎非常相似,特征是固有层大量白细胞浸润,隐窝上皮细胞增生和隐窝脓肿,这些发现整合到非加性评分中。与转移性结肠炎相比,由于总体严重程度较低,评分为4。IL-10 KO小鼠在3周龄时发生了慢性小肠结肠炎,也适用于纯合子IL-2KO小鼠的结肠炎。
方案5:细胞因子缺陷的基因修饰小鼠的小肠炎症
该类涉及小肠的IBD模型很少见,小肠炎症的特征与结肠炎症没有显著差异。评分系统考虑了结构的特殊性,并对(亚)粘膜炎性细胞浸润和上皮增生引起的绒毛结构改变进行了分级。尽管部位和主要特征不同,但晚期炎症与转移性结肠炎一样严重,我们也将其最高评级为5。TNFDARE/+小鼠回肠末端的组织显示出小肠炎症的典型特征。
方案6:腔内抗原诱导小肠炎症
肠腔内寄生虫通过附着、迁移和取食活动直接触发宿主免疫反应,或通过机会性感染间接触发宿主免疫反应;事件的复杂顺序最终包括肠上皮屏障的削弱。与化学诱导的结肠炎一样,提出了一种附加的评分系统,该系统适用于独立描述白细胞浸润水平和肠道结构,并确认合并评分为8的严重程度。该方案的使用以来自口腔感染模型的十二指肠组织为例,该模型具有多形螺旋线虫,但它也对感染巴西圆线虫的空肠也适用。由于辅助性T细胞(Th)-1细胞介导的机制,专性细胞内寄生虫刚地弓形虫引起急性小肠炎症,快速发展的肠道病变,伴有非常早期的严重粘膜坏死和组织破坏。

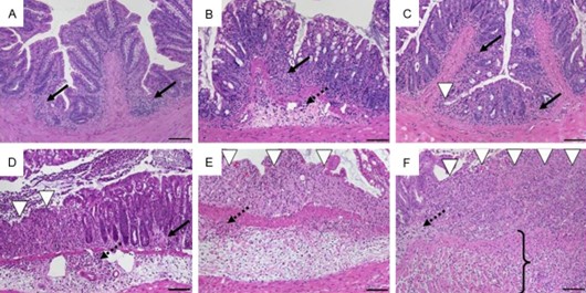
去除DSS后第2天,C57BL/6野生型小鼠中DSS诱导的结肠炎中结肠组织的组织形态学。A.总评分1:轻度粘膜炎性细胞浸润(评分1:1),上皮完整(评分2:0);B。总评分2:炎症细胞浸润到粘膜和粘膜下层(评分1:2),上皮未受损(评分2:0);C。总评分3:粘膜浸润(评分1:1)伴有局灶性溃疡(评分2:2);D。总分4分:粘膜和粘膜下炎症细胞浸润(1:2分)和局灶性溃疡(2:2分);E。总分5:中度炎性细胞浸润至粘膜和粘膜下层(得分1:2),伴有广泛溃疡(得分2:3);F。总评分6:透壁性炎症(评分1:3)和广泛溃疡(评分2:3)。原图放大倍数×100;比例尺100µm;箭头-粘膜(实线)和粘膜下层(虚线)内有炎性细胞浸润;白箭头状溃疡;括弧–透壁性炎症。
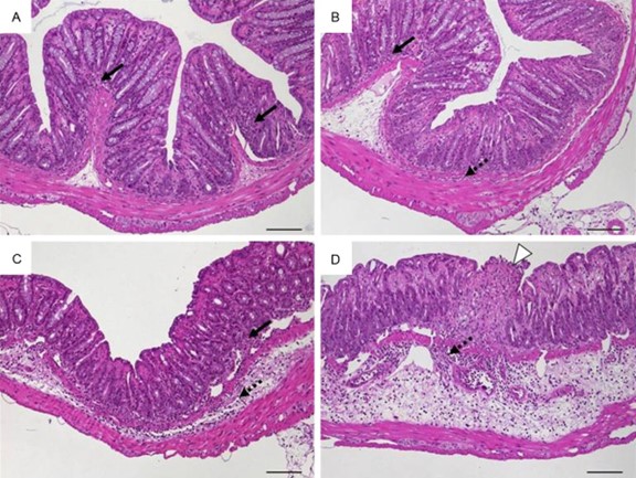
直肠内应用卵清蛋白和同时静脉内转移卵清蛋白特异性T细胞后6周结肠组织的组织形态学。为野生型小鼠。A。评分1:粘膜中具有最小局灶性炎性细胞浸润的完整上皮;B。评分2:黏膜及黏膜下层有散在炎性细胞浸润;C。评分3:弥漫性粘膜和粘膜下炎性细胞浸润;D。评分4:粘膜下层中度炎性细胞浸润,水肿,局灶性溃疡。原图放大倍数×100;比例尺100µm;箭头-粘膜(实线)和粘膜下层(虚线)内有炎性细胞浸润;白箭头状溃疡。

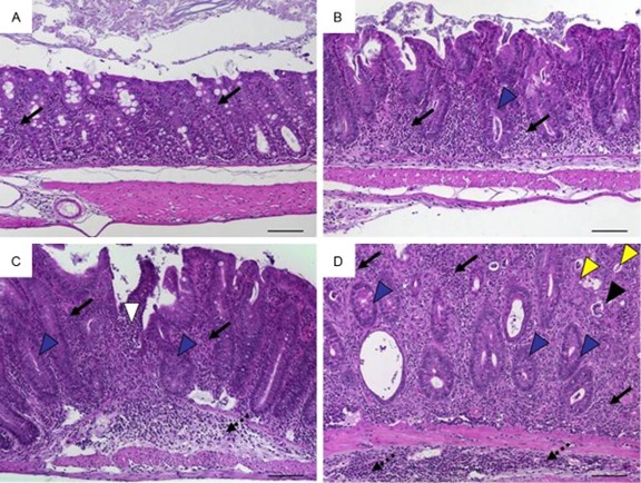
在将CD4+D45RBHi T细胞转移到RAG1-KO小鼠中后,结肠组织的组织形态学。A。评分0:具有完整上皮的正常结肠粘膜;B。评分1分:黏膜内散在炎细胞浸润;C。评分2:弥漫性粘膜浸润,无粘膜下扩散和完整的上皮层;D。3分:粘膜及粘膜下层炎症细胞中度浸润,上皮增生,杯状细胞丢失;E。评分4:粘膜和粘膜下层有明显的炎性细胞浸润,伴有隐窝脓肿,杯状细胞和隐窝消失;F。评分5:粘膜内明显炎性细胞浸润,扩散至粘膜下层,伴有隐窝丢失和出血。原图放大倍数×100;比例尺100µm;箭头-粘膜(实线)和粘膜下层(虚线)内有炎性细胞浸润;黑箭头状隐窝脓肿,蓝箭头状杯状细胞丢失;黄色箭头-隐窝损失;红色箭头-出血。
4月龄的IL-10 KO小鼠结肠组织的组织形态学。A。评分1:在具有完整上皮的粘膜中有最小的炎性细胞浸润;B。评分2:粘膜轻度炎性细胞浸润,伴轻度增生和轻度杯状细胞丢失;C。评分3:粘膜和粘膜下层中度炎性细胞浸润,伴中度杯状细胞丢失;D。评分4:粘膜和粘膜下层有明显的炎性细胞浸润,伴有明显的增生和明显的杯状细胞丢失。多发性隐窝脓肿和隐窝缺失。原图放大倍数×100;比例尺100µm;箭头-粘膜(实线)和粘膜下层(虚线)内有炎性细胞浸润;黑箭头隐窝脓肿;黄色箭头-隐窝损失;蓝色箭头-杯状细胞丢失。
参考文献: Int J Clin Exp Pathol 2014;7(8):4557-4576