NEWS CENTER

学术分享

组织病理 药效模型 毒性病理 公司新闻

小鼠肠道炎症模型的组织病理学(一)

【摘要】:小鼠肠炎模型可分为化学诱导模型,基因小鼠模型和免疫调节模型等。需系统化的小鼠肠道炎症模型的组织病理学评估,三个重要病理指标用于反映病程(1)炎性细胞浸润的种类与程度(2)上皮变化(3)黏膜结构

        引言 

        小鼠肠炎模型(IBD)可分为化学诱导模型,基因小鼠模型和免疫调节模型等。小鼠肠道炎症模型的组织病理学评估,三个重要病理指标:(1)炎性细胞浸润的种类与程度(2)上皮变化(3)黏膜结构。

        组织病理概述

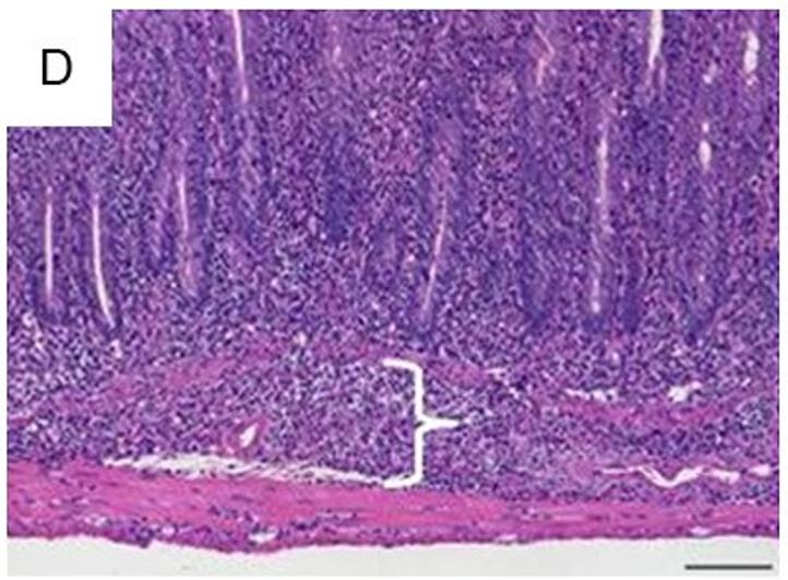
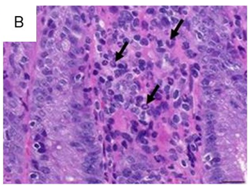
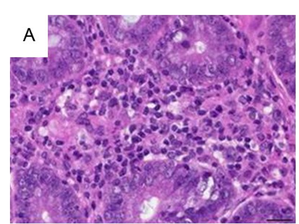
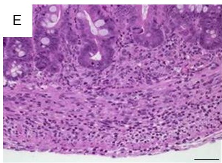
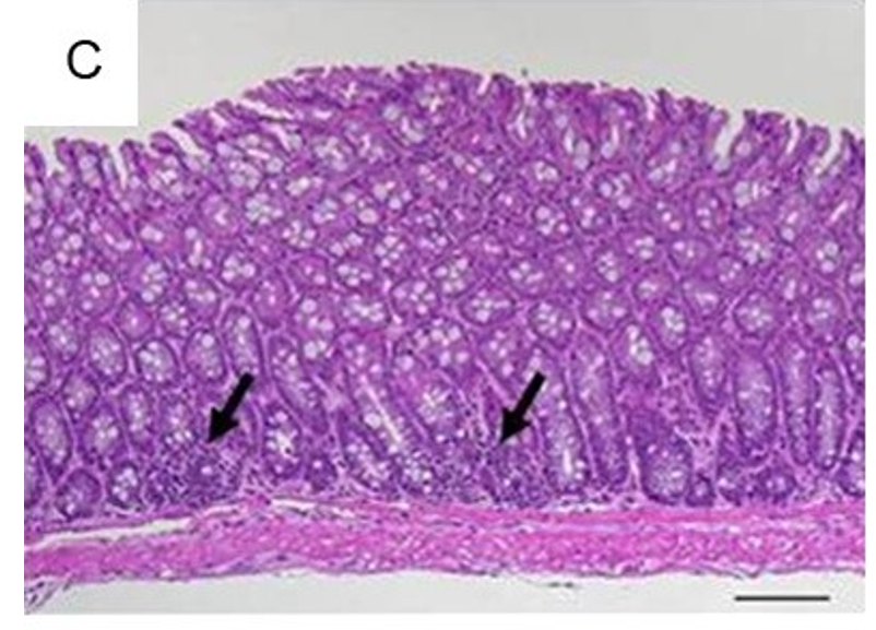
   白细胞浸润固有层,这是所有肠炎模型的共有特征。尽管浸润了不同比例的嗜中性粒细胞、嗜酸性粒细胞、单核细胞、浆细胞和淋巴细胞,评估每高倍视野(HPF)组织内混合的炎症细胞,可充分反映了炎症相关的变化(图1A)。散在中性粒细胞是轻度浸润的典型特征(图1B)。从炎症细胞的主要局部粘膜定位开始(图1C),严重程度增加首先包括粘膜下层(图1D),随后延伸至固有肌层并最终导致透壁浸润(图1E)。最初见于上皮细胞层的主要变化包括隐窝上皮细胞增生,杯状细胞的损失,隐窝炎、隐窝脓肿和糜烂。

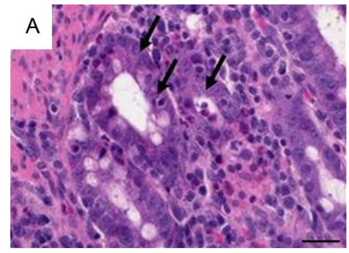
图1代表性HE染色的结肠切片图 说明了炎症细胞浸润的具体情况(A)横截面中浸润的混合白细胞(×400,比例尺20µm)

1(B)分散的嗜中性粒细胞(箭头;×400,比例尺20µm)

1(C)混合炎性细胞的多灶性粘膜浸润(箭头;×100,比例尺100µm)

1(D)炎症细胞的粘膜和粘膜下层(箭头)浸润(×100,比例尺100µm)

                                       1(E)透壁炎症细胞(×200;比例尺50µm)

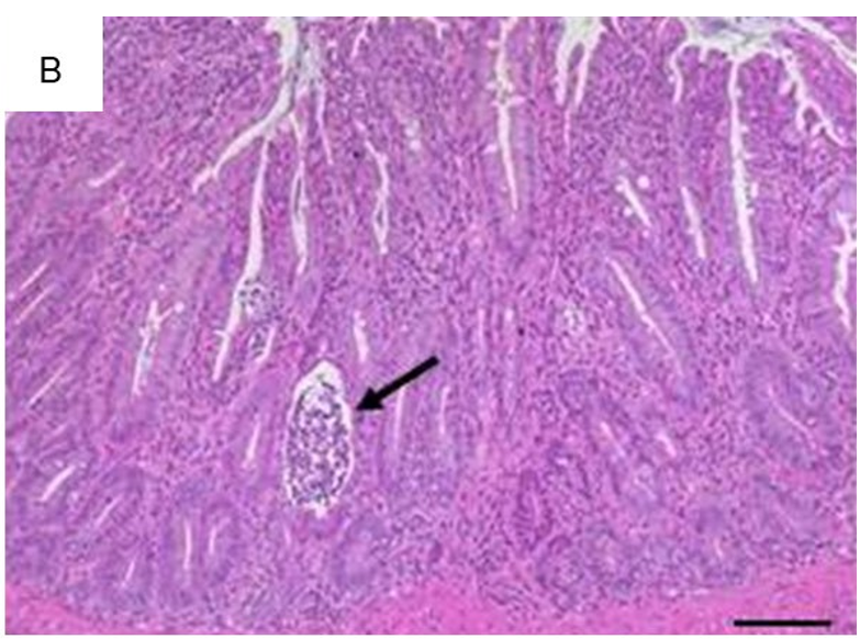
     作为再生增加标志的上皮细胞增殖也是小肠炎症的一般特征。如在结肠中与正常肠道组织外观相关的隐窝长度增加的四个阶段足以区分肠道炎症的严重程度(图2)。极轻和轻度增生表现为上皮衬里中的细胞数量增加。中度和显著的增生也显示在远离隐窝基部的区域有丝分裂。小肠和大肠上皮细胞层的杯状细胞缺失清楚地表明了肠道炎症的严重程度,可根据肠道特定区域的杯状细胞数量基线进行评级(图2)。

  图2  代表性HE染色的结肠切片 上皮增生和杯状细胞丢失的分级。由于上皮细胞(上排增多,增生表现为拉长的隐窝;×100)和显示透明粘液滴的杯状细胞的丢失(下排;×100)。

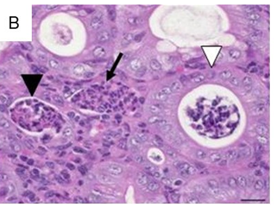
    中性粒细胞散布在隐窝上皮细胞层中的隐窝炎(图3A)加剧至隐窝脓肿,中性粒细胞在隐窝腔内积聚,最终破坏隐窝上皮(图3B)。侵蚀,即表面上皮的缺失伴有潜在的炎症,其中主要是局灶性的上皮缺损达到基底膜。(图3C)

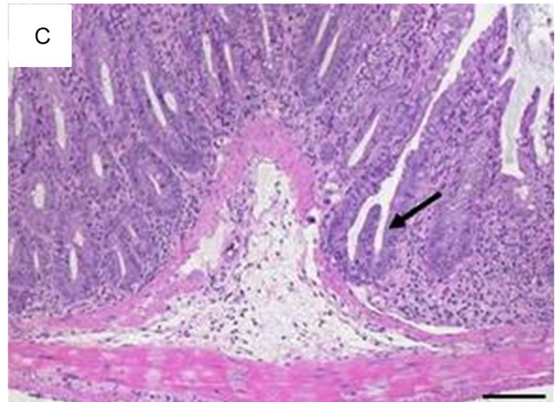
图3代表性的HE和免疫组织化染色的结肠切片 上皮变化和粘膜结构的改变

(A)隐窝炎在横截面(×400,比例尺20µm)中表现为隐窝上皮细胞之间的中性粒细胞(箭头)

 3(B)隐窝脓肿,管腔内有中性粒细胞,上皮几乎完整(白色三角)或上皮受损(黑色三角)以及横截面(×400,比例尺20µm)中的完全隐窝损失(箭头)

 3(C)失去表面上皮,糜烂(箭头;×100,边框X400)。

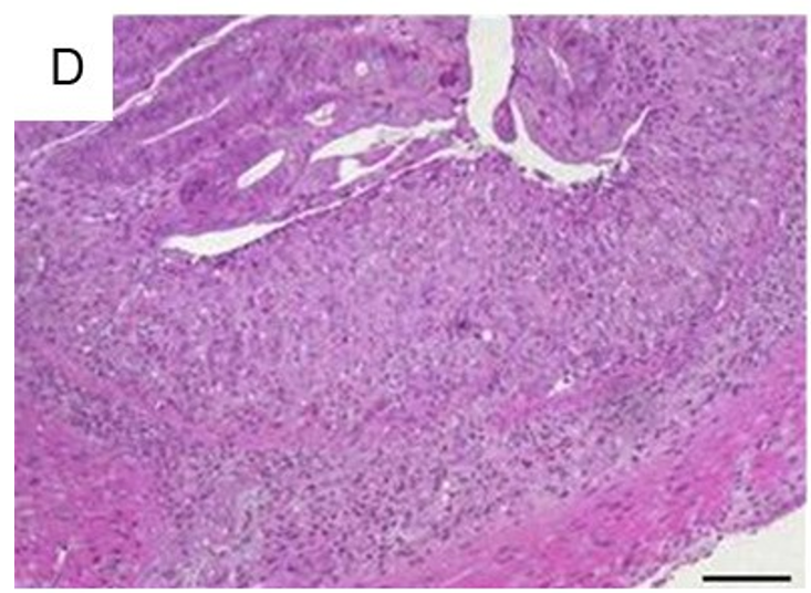
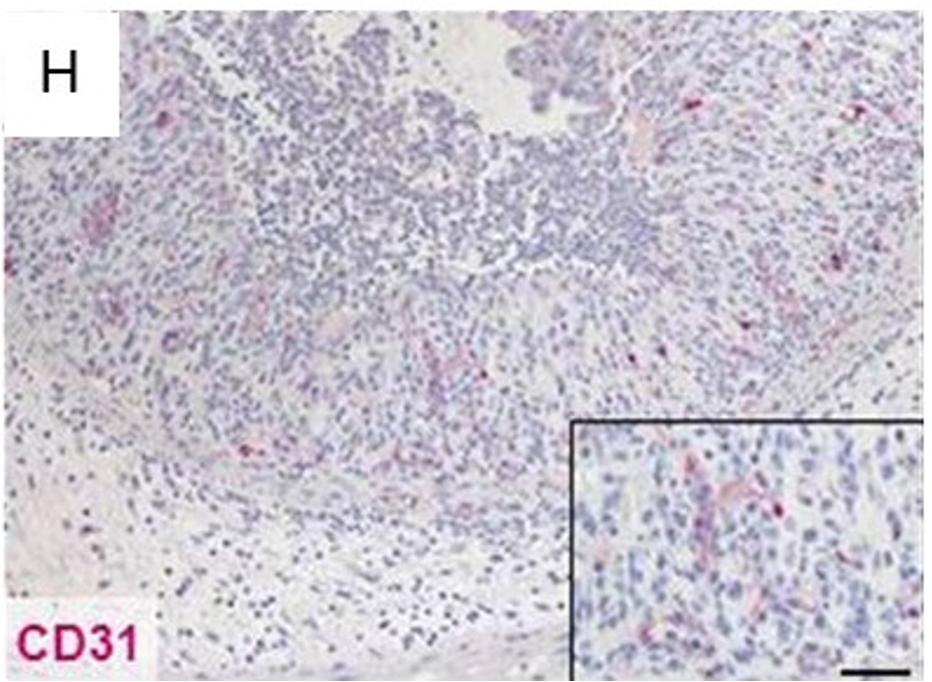
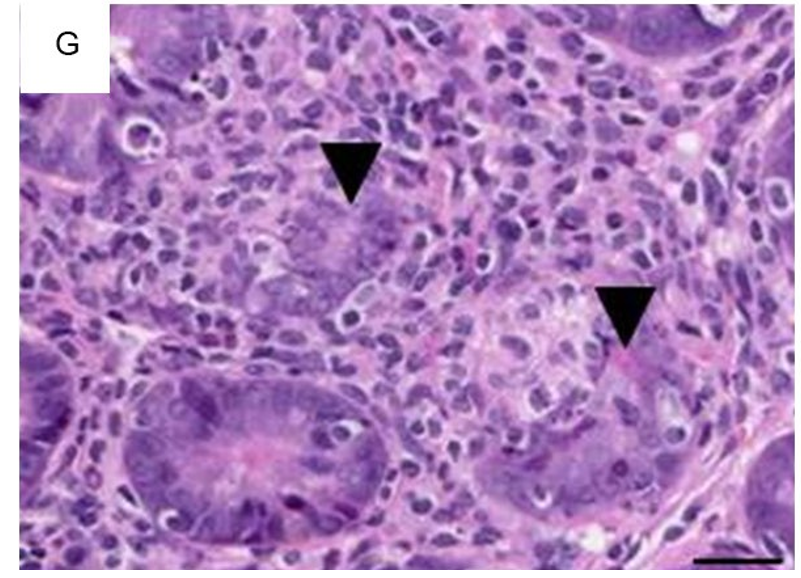
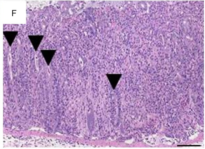
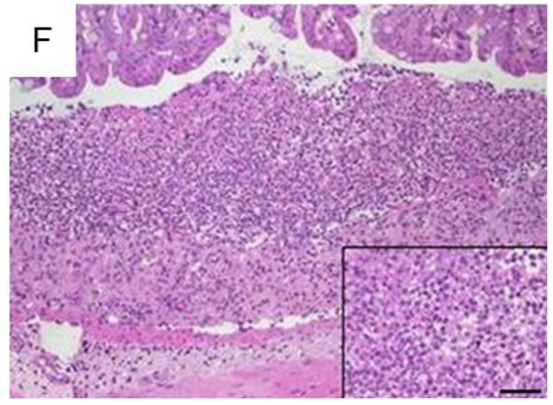
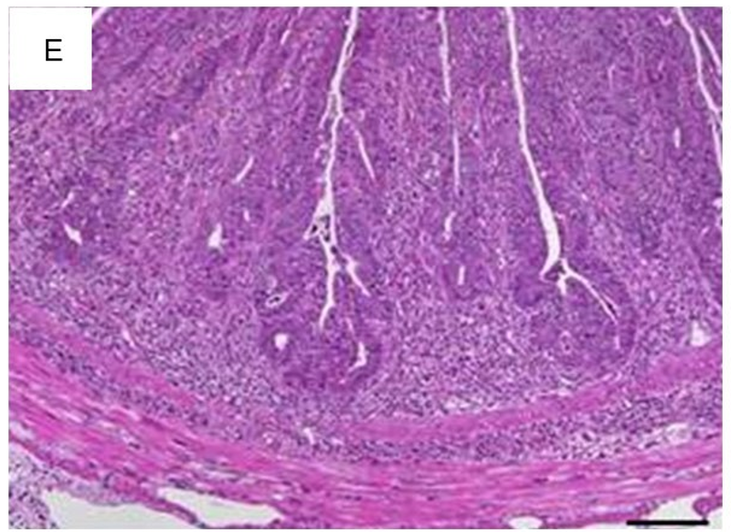
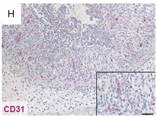
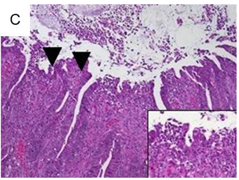
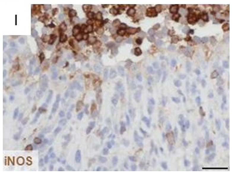
          所有深入到肠表面上皮细胞层的变化都被认为是整体粘膜结构的改变,并且存在溃疡、肉芽组织、不规则隐窝或隐窝缺失。溃疡,即超过粘膜下层的糜烂(图3D)偶尔被富含iNOS+中性粒细胞的渗出物覆盖(图3E)。或粒细胞-纤维蛋白复合物(图3F)。结缔组织修复是溃疡下肉芽组织的标志(图3G)。它包括由CD31+内皮细胞(图3H)、成肌纤维细胞、iNOS+巨噬细胞和中性粒细胞(图3I)排列的新毛细血管以及淋巴细胞和细胞碎片。

 3(D)溃疡(×100,比例尺100µm)。

 3E)溃疡被富含iNOS+中性粒细胞(棕色)的渗出物覆盖;×100,比例尺100µm)

3(F)粒细胞-纤维蛋白复合物(×100,边框X400,比例尺20µm)

3(G)连续切片 肉芽组织(×100,边框X400,比例尺20µm)

3(H)CD31+内皮细胞(红色;×100,边框X400,比例尺20µm)

3(I)顶端iNOS+细胞(棕色;×400,比例尺20µm)

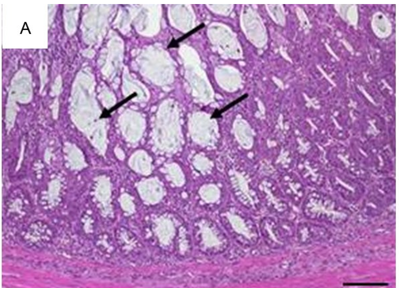
         一般整个肠道的隐窝外观和小肠内的绒毛形态确定了粘膜结构的主要水平。沿着单个隐窝或扩张隐窝的深度直径可变的不规则隐窝(图4A)不平行的隐窝(图4B),隐窝底部的分叉(图4C,4D)可能延伸到分支隐窝(图4E)至完全缺乏隐窝的粘膜(图4F,4G)或隐窝黏膜下层(图4H),可见黏膜组织病理学标记。

图4 代表性HE染色的结肠切片 显示了改变的隐窝。(A)在含有粘液的扩张隐窝的横截面中,相邻隐窝的直径不同(箭头;×100,比例尺100µm)

图4B)轻微隐窝变形伴隐窝脓肿(箭头;×100,比例尺100µm)

                       4(C)纵截面(×100,比例尺100µm)的分叉隐窝(箭头)

 4(D)横截面(×400,比例尺20µm)中的分叉隐窝(箭头)

 4(E)分支隐窝(×100,比例尺100µm)

 4(F)纵切面(×100,比例尺100µm)中仅含有隐窝(箭头)残余的粘膜

 4(G)横切面(×400,比例尺20µm)中仅含有隐窝(箭头)残余的粘膜

 4(H)突出的隐窝(×100,比例尺100µm)

    在十二指肠和空肠中,绒毛较长,绒毛与隐窝长度之比约为3:1至5:1,而在回肠中,绒毛通常较短(图5)。因此,绒毛的进行性增宽和变钝直至绒毛结构的完全丧失清楚地表明了病理变化。两种程度的绒毛钝化(图5)和绒毛萎缩足以对严重程度进行评分。

图5 代表性HE染色小肠切片 显示了十二指肠和回肠的正常和改变的绒毛变钝(×100,比例尺100µm)  

 

参考文献:Int J Clin Exp Pathol 2014;7(8):4557-4576

上一篇:没有数据了